ORTODONCIA INFANTIL

CON O SIN APARATOS

En muchos casos el mejor momento para empezar la ortodoncia es cuando han salido los dientes definitivos, entre los 11-12 años.

En otros casos tenemos que adelantar los tratamientos mediante RNO Y RMR incluso a edades más tempranas como los 6 años

RESERVA CITA

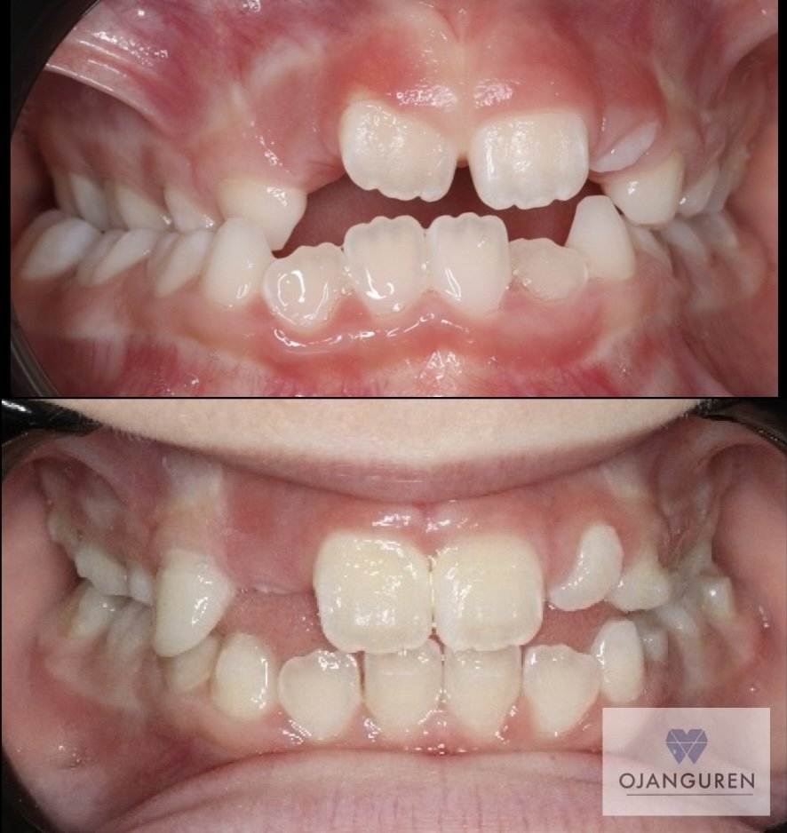
Problemas más comunes en niños:

  • Dientes separados

  • Falta de espacio para definitivos

  • Amontonamiento, apiñamiento

  • Huesos maxilares de diferente tamaño

  • Mal encaje de la mordida que se refleja en la cara

 Estos problemas se corrigen con ortodoncia, ortopedia o sin aparatos mediante rehabilitación RNO y RMR

ortodoncia preventiva

MORDIDA CRUZADA

APIÑAMIENTO GRAVE

LLAMANOS 941 701 531

RESERVA CITA

RNO y RMR. Ortodoncia sin aparatos

  • Rehabilitación neuro-oclusal: Un tratamiento basado en la modificación del ambiente (función lingual, músculos, respiración nasal) para adecuar y corregir maloclusiones . Con uso de pista de composite para guiar los diferentes contactos dentarios

  • Rehabilitación masticatoria y respiratoria: Tratamiento mediante ejercicios de respiración, deglución y función general para eliminar hábito nocivos y generar un ambiete funcional para la mordida

LLAMANOS