PIDE CITA

DIAGNÓSTICO Y PERSONALIZACIÓN

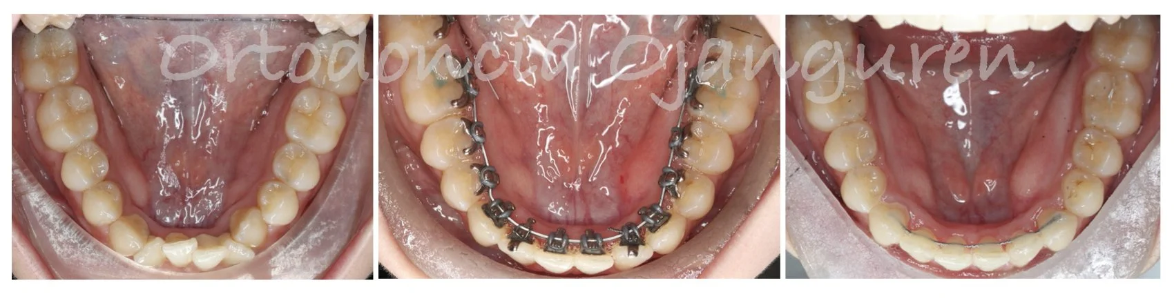
Ortodoncia Lingual: Tratamiento personalizado completamente invisible

En Ortodoncia Ojanguren adaptamos cada tipo de tratamiento de Ortodoncia Lingual a las necesidades de cada paciente garantizando resultados que no solo sean estéticos sino también funcionales y duraderos.

Nuestra ortodoncista y nuestras higienistas cuentan con formación y años de experiencia en ortodoncia lingual, lo que brinda a nuestros pacientes comodidad en cada visita.

Ortodoncia Lingual en Logroño

DISCRECIÓN Y EFICACIA GARANTIZADAS

¿Cómo es el proceso de Ortodoncia Lingual en Logroño?

01

La primaera visita

En la primera visita conocerás nuestro ambiente y equipo. Te informaremos sobre tus problemas dentales y las opciones de tratamiento que podemos ofrecerte gracias a nuestra experiencia.

02

Estudio de Ortodoncia

Realizaremos un escaneo 3D, fotos, radiografías y TAC para estudiar tu caso, valorando estética y funcionalidad, y enviaremos todo al laboratorio con las directrices del ortodoncista para desarrollar tu plan de tratamiento.

03

Diseño y Personalización de tus brackets linguales

Los brackets linguales se diseñan y personalizan a partir de un modelo digital de tus dientes. Gracias a esta tecnología, los brackets se adaptan perfectamente a la cara interna, garantizando comodidad y precisión desde el inicio.

04

Revisiones de control

Se dividen en tres fases: La 1º fase donde movemos tus dientes a hacia la posición correcta, manteniendo la estética ya que son invisibles desde el exterior. La 2º fase donde ajustamos tu mordida asegurando una función óptima y armónica. En la 3º fase o última etapa, nos enfocamos en los pequeños detalles para ajustar al máximo la oclusión y la estética finalizando con una sonrisa bonita y saludable

05

Fase de Retención

Cuando logramos los resultados deseados, retiramos los brackets linguales y colocamos retenedores. Estos pueden ser fijos o removibles, y garantizan que los resultados de tu ortodoncia lingual se mantendrán a largo plazo.

LLAMANOS 941 701 531

PIDE CITA

Dudas frecuentes de la Ortodoncia Lingual en Logroño

PIDE CITA
  • La ortodoncia lingual personalizada tiene un diseño y forma únicas. Las bases de los brackets están diseñadas y contorneadas según la anatomía de los dientes para abrazar sus superficies linguales (del lado de la lengua) de esta manera proporcionan una óptima comodidad, ajuste y rendimiento.

  • El rango de precio de la ortodoncia lingual inicia en los 5500 €, pero el precio final dependerá de la complejidad de tu caso, es decir, cada presupuesto se personaliza después del estudio de ortodoncia.

  • Al ser totalmente customizados o personalizados son muy precisos y al estar colocados en la parte interna de los dientes son completamente invisibles. Estudios recientes demuestran que disminuyen el riesgo de sufrir caries o lesiones blancas en los dientes durante el tratamiento con ortodoncia lingual en comparación con la ortodoncia convencional.

LLAMANOS 941 701 531